Permanent Make-up / Kosmetik Inna Böttcher
Permanent Make-up / Kosmetik Inna Böttcher

Permanent Make-up   -

                 mehr Ausdruck für Ihr Gesicht     

Natürliche Schönheit perfekt in Szene gesetzt. Die hochwertigen Pigmentierfarben mit

 

Sicherheitsgarantie können selbst bei Allergikern und hypersensiblen Hauttypen verwendet werden. Formschöne Augenbrauen, ausdrucksvolle Augen und sinnliche Lippen sorgen für eine harmonische Ausstrahlung.

 

Der Anspruch des Prüfungsverfahrens war entsprechend hoch, um alle Anforderungen zu erfüllen. Diese beinhalten visagistisches Vorzeichnen, professionelles Pigmentieren in einer vorgegebenen Zeit, Anwendung des High-Tech-Pigmentiergerätes und ausreichend Kentnisse über Farbenlehre, Farbenkunde sowie Aufklärung über Farbendeklarationen.


Das anspruchsvolle Auswahlverfahren, umfangreiche Schulungen und eine erfolgreich abgeschlossene Prüfung sind Voraussetzungen um die Kunst den permanenten Make-up zu beherrschen.

 

Für Permanent Make-up verwende ich ausschließlich Pigmente, die frei von Eisenoxyden sind. Dadurch sind sie farbstabiler, deckender und halten länger in der Haut.

 

 

  •  

PREISE

       LIPPEN

       

      Lippenkonturen mit leichter Halbschattierung                                        350,00 €

       1 Korrekturarberten inklusive 

        

 

      Lippen Vollschattierung                                                                               400,00 €

      1 Korrekturarbeit inklusive 

         

  •  

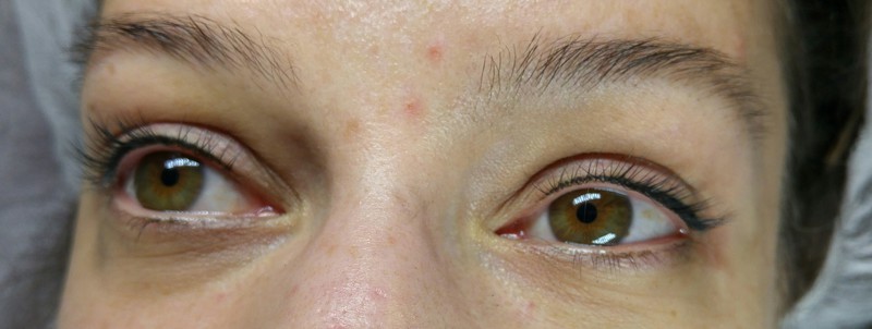
  • WIMPERNKRANZVERDICHTUNG        

  •  für optisch dichtere   Wimpern 

  •                               

  • Oben                                                                                                       210,00 €

  • Unten                                                                                                      100,00 €

  • Oben & Unten                                                                                           280,00 €   

  • 1 Korrekturarberten inklusive                                         

  •  

  •  

  •  

  • LIDSTRICH                                                                              290,00 €

  •  

    Lidstriche dezent oder kräftig

  • 1 Korrekturarbeit inklusive

  •  

  •  

  • AUGENBRAUEN                                                                       320,00 €

  •  

    Augenbrauenkorrekturen mit Härchenzeichnung oder Augenbrauenschattierung.

  • 1 Korrekturarbeit inklusive

 

BEISPIEL

Augenbrauen

Lippen

Augen

Druckversion | Sitemap
© Permanent Make-up / Kosmetik Inna Böttcher

Boxhagener Str. 42, 10245 Berlin
Öffnungszeiten: Di. - Fr. 10-19 Uhr, Mo.,Sa nach Vereinbarung
Telefon: 01577 32 89 779